全球慢性肝病正呈爆发式增长,美国超400万成年人受其困扰,日本也因酒精消费和代谢性疾病攀升导致肝病患者持续增加。一旦肝纤维化进展为肝硬化,肝移植曾是唯一的救命方案,但一项发表在《StemCellReports》的突破性研究,有望彻底改变这一局面。
日本科学东京研究所的团队利用人类诱导多能干细胞(iPS细胞),首次构建出能精准模拟肝细胞与肝星状细胞(HSCs)相互作用的类器官模型(iHSO),不仅揭开了肝纤维化的核心机制,更给抗纤维化药物开发和肝病治疗带来了革命性突破。

肝脏的修复过程就像一把“双刃剑”,健康状态下肝星状细胞处于静止期,储存着维生素A,默默守护肝脏稳态。可一旦肝细胞反复受损,这些“守护者”就会被激活,转化为大量产生细胞外基质的肌成纤维细胞。原本用于修复的基质若过度沉积,就会引发肝纤维化,一步步恶化成肝硬化甚至肝癌。长期以来,人类肝细胞与星状细胞之间精确的“交流机制”一直是未解之谜,传统动物模型因物种差异无法还原人类细胞的真实行为,极大阻碍了研究进展。
为了破解这个难题,研究团队转向iPS细胞技术,成功用人类iPS细胞分化出肝细胞样细胞(iPS-Heps)和星状细胞样细胞(iPS-HSCs),并将它们放在三维环境中共同培养,最终形成了独特的类器官——iHSO。这种“微缩肝脏”最神奇的地方在于其天然的结构:星状细胞会自动包裹在肝细胞核心周围,完美复刻了人体肝脏的细胞排布模式。更重要的是,三维培养环境能有效抑制iPS-HSCs的体外自发激活,让它们更贴近体内静止状态,解决了传统二维培养无法模拟生理环境的痛点。
在这个“微缩肝脏”里,研究人员终于破解了肝细胞与星状细胞的“对话密码”。他们发现,细胞黏附分子ICAM-1和细胞因子IL-1β构成了两者通讯的核心桥梁。在iHSO中,星状细胞不仅保持着静止且富含细胞因子的有益表型,还能通过ICAM-1–IL-1β信号轴显著促进肝细胞增殖,这种促增殖效果在传统原代肝细胞共培养模型中从未出现,凸显了iHSO模型的独特价值。
进一步研究证实,直接的细胞接触是这种“对话”的关键,仅靠条件培养基无法复刻这种表型变化,这也解释了为何以往体外研究难以还原体内肝脏的真实修复过程。

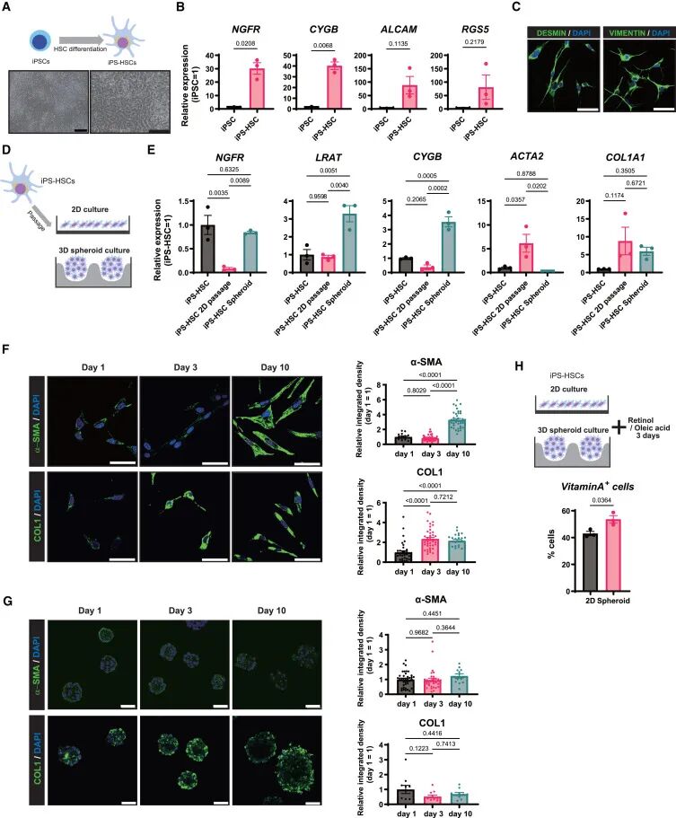
三维培养可部分抑制iPS-HSCs的体外活化
为验证iHSO的临床应用价值,研究团队用常见肝毒性药物乙酰氨基酚(APAP)处理类器官,成功模拟出肝细胞损伤诱导星状细胞激活的完整过程:随着APAP浓度升高,肝细胞区域明显缩小,星状细胞区域则显著扩大,同时静止期标志物(NGFR、CYGB等)表达下降,激活标志物(ACTA2、TIMP1)表达升高,甚至出现细胞外基质沉积增加的纤维化特征。这完美再现了人类肝脏从损伤到纤维化启动的全过程。更重要的是,这种激活仅在肝细胞与星状细胞共培养的iHSO中出现,星状细胞单独培养时无此变化,进一步证明了该模型能精准还原细胞间相互作用介导的病理过程。
这个“微缩肝脏”模型的出现,给肝病研究和药物开发带来了质的飞跃。它不仅能帮助科学家清晰观察肝纤维化的启动和进展机制,还能用于高通量药物筛选,快速找到能阻止星状细胞激活、促进肝细胞再生或逆转基质沉积的化合物。
研究负责人SeiKakinuma教授表示,若能精准干预肝细胞与星状细胞的“对话”,就能设计出针对性药物:要么让激活的星状细胞重新恢复静止,要么增强肝细胞的再生能力,甚至直接阻断纤维化进程,最终让患者摆脱肝移植的等待和风险。
这项研究的意义远超基础科学,它标志着我们对肝病的研究从“观察疾病”迈入“重建过程”的新阶段。借助iPS细胞和类器官技术,人类不仅破解了肝脏细胞的通讯密码,更找到了对抗肝纤维化的新靶点和新工具。未来,随着模型的进一步优化和药物筛选的推进,无移植治疗肝病将不再是梦想,无数慢性肝病患者有望通过精准药物干预重获健康。
